Dispositivo médico para evaluar funcionalidad de médula espinal

Resumen
Las lesiones traumáticas y/o funcionales de la médula espinal son muy frecuentes en la población chilena y del mundo, produciendo la discapacidad de la persona y además implicando altos costos diagnósticos, terapéuticos y de mantenimiento posterior con intensa carga psicológica y económica.
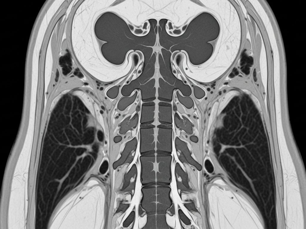
Actualmente, para conocer si una persona tiene un problema en la médula espinal, las alternativas son la radiología, la tomografía computada y la resonancia magnética, las que sólo entregan información de alteraciones estructurales, pero no funcionales, de la médula espinal.
Es por ello que el equipo de investigación está desarrollando un dispositivo que permita entregar una evaluación de la funcionalidad de la médula espinal. Este dispositivo es no invasivo, portátil, rápido, de bajo costo, basado en un sistema de espectroscopía de infrarrojo cercano.
Ventajas
- Dispositivo portátil, que facilita su uso en el domicilio de las personas, en accidentes, sin necesidad de que el paciente deba ser trasladado a un establecimiento de salud.
- Permite evaluar la función de la médula espinal, a diferencia de la tomografía computarizada y la resonancia magnética que solo aportan información estructural de la médula espinal.
Estado de desarrollo
4 – Validación de Componentes en laboratorio
Investigadores
- Sergio Uribe
- Antonio Eblen
Tecnologías relacionadas